La higiene dental es una parte muy importante de la salud general de las mascotas, ya que los problemas dentales pueden causar otras enfermedades. El veterinario debe revisar los dientes y encías de las mascotas al menos una vez al año, durante la revisión anual, con el fin de detectar signos tempranos de algún problema y mantener su boca sana.
En Clínica Veterinaria CalviàVet de Malllorca, nuestros servicios dentales para mascotas incluyen:
- Limpieza por ultrasonido (elimina los depósitos de sarro)
- Pulido (suaviza las imperfecciones de la superficie del diente)
- Extracciones dentales (si fuese necesario)
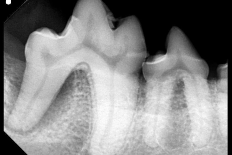
- Radiología dental
El veterinario comienza su revisión con un examen de la boca de la mascota. Para evaluar el estado de la mandíbula y de las raíces de los dientes tal vez necesite realizar unas radiografías. Las limpiezas dentales se realizan bajo anestesia general para garantizar un tratamiento más completo.
¿A qué síntomas debes prestar atención?
Pide cita para revisar los dientes de tu mascota, si observas alguno de los siguientes problemas:
- Dientes rotos o sueltos
- Dientes extra o dientes de leche retenidos
- Dientes descoloridos o cubiertos de sarro
- Mal aliento
- Masticación, babeo o alimentos que se caen de la boca de manera inusual.
- Apetito reducido o negativa a comer
- Dolor en o alrededor de la boca
- Sangrado de la boca
- Inflamación de las zonas que rodean la boca.
Algunas mascotas se vuelven irascibles cuando tienen problemas dentales, por lo que cualquier cambio de comportamiento debería motivar una visita al veterinario. Ten cuidado al revisar la boca de tu mascota, porque un animal dolorido puede morder.
¿Por qué en la odontología veterinaria se requiere anestesia?
Cuando traes tu mascota a Clínica Veterinaria CalviàVet, le realizamos en nuestra consulta los tratamientos necesarios para ayudarles a mantener la boca sana. Utilizamos técnicas para minimizar el dolor y las molestias y controlamos constantemente cómo se siente el paciente a lo largo del proceso.
La anestesia permite realizar los tratamientos dentales con menos estrés y dolor. Además, permite realizar una mejor limpieza porque el paciente no se mueve y no corre riesgo de lesionarse con el equipo dental. Si hay necesidad de hacer radiografías, el paciente tiene que estar inmóvil para obtener imágenes nítidas y esto es difícil de conseguir a menos que esté bajo los efectos de la sedación.
Aunque anestesiar al paciente siempre es delicado, gracias a los equipos y la formación del personal los beneficios superan con creces a los riesgos. La mayoría de nuestros pacientes pueden volver a casa el mismo día del tratamiento, aunque pueden estar un poco aturdidos durante el resto del día.
Causas de los problemas dentales en las mascotas
Aunque las caries son menos comunes en ellos que en nosotros, los animales de compañía pueden tener muchos de los mismos problemas dentales que desarrollamos las personas:
- Rotura de dientes y raíces
- Enfermedad periodontal
- Abscesos o dientes infectados
- Quistes o tumores en la boca
- Mala oclusión o desalineación de los dientes y mordida
- Fractura de mandíbula
- Defectos del paladar (como paladar partido)
La enfermedad periodontal es la afección dental más común en perros y gatos. Los primeros síntomas de la enfermedad suelen aparecer a los 3 o 4 años si no se toman medidas preventivas eficaces y empeorarán a medida que la mascota envejezca, La detección y el tratamiento tempranos son fundamentales, porque la enfermedad periodontal avanzada puede ocasionar dolor y problemas graves. Otros problemas de salud asociados con esta enfermedad incluyen alteraciones en los riñones, el hígado y el corazón.
La enfermedad periodontal comienza con el endurecimiento de la placa bacteriana que se convierte en sarro. El sarro por encima de la encía a menudo puede verse y eliminarse fácilmente, pero la placa y el sarro por debajo de la encía son perjudiciales, favorecen la infección y perjudican la mandíbula y los tejidos que la conectan con el diente. La enfermedad periodontal se clasifica en una escala de 0 (normal) a 4 (grave).
El tratamiento para esta afección es una limpieza dental completa; es posible que se necesiten radiografías para determinar la gravedad de las lesiones y un tratamiento médico que elimine la infección y la inflamación. Nuestros veterinarios te aconsejarán qué hacer, basándose en la salud general de la mascota y la salud de sus dientes.

